オンダリフト(ONDA) フェイス
たるみを引き上げ、余分なボリュームを整えるプレミアム輪郭リモデリング
リフティングを超え、顔の密度を再設計する
2つの効果を一度に
リフティングと脂肪減少、
2つの効果を一度に
次世代マイクロ波リフティング
顔を小さくすることが目的ではありません。過剰な脂肪を除去するのではなく、顔のバランスと密度を整えることです。
FACE ONDAはマイクロ波エネルギーを利用して肌の弾力と輪郭を同時にデザインするハイエンドリフティングソリューションです。
#輪郭リファインメント #ボリュームバランス #肌密度回復
2つの深さで
カスタマイズ施術が可能な
デュアルハンドピース
7mmと12mmの2種類のハンドピースで
真皮層から脂肪層まで選択的にエネルギーを伝達
肌の状態に合わせた1:1オーダーメイドデザインで
精密な施術により最高の結果を実現します。
Only ONDA Lifting
オンダリフトでのみ
体験できる技術力
イタリアDEKA社の特許マイクロ波技術 —
従来の高周波(RF)・超音波(HIFU)とは全く異なる技術

世界初のCoolwaves™技術
2.45GHzマイクロ波と特許クーリングシステムで肌の深層にエネルギーを届けながら表皮を保護する全く新しいリフティング方式

エネルギーの80%を真皮層に直接伝達
表皮でのエネルギー損失がほとんどなく浸透し真皮・脂肪層にのみ選択的に集中 — 表皮を傷つけない安全な施術

リフティング + 脂肪減少の同時効果
コラーゲン収縮による即時タイトニングと脂肪細胞の除去を同時に実現するONDAならではのデュアル効果

痛みなし・ゼロダウンタイム
施術中に温度センサーがリアルタイムで肌温度を感知し麻酔なしで快適な施術を実現。腫れ・あざなしですぐに日常復帰
オンダリフト フェイスの効果
オーダーメイドの施術設計から施術後の継続的な肌改善まで —
Dr. Eraserクリニックのオンダリフトが実現する変化のプロセスです。

肌層ごとの1:1施術デザイン
個々の肌状態とお悩み部位に合わせたオーダーメイド施術計画を策定

即時的なリフティング &タイトニングを実感
施術直後から感じられる肌の弾力と輪郭の変化

持続的なコラーゲンリモデリング
即時的な効果 + 6ヶ月〜1年間にわたる段階的な改善効果
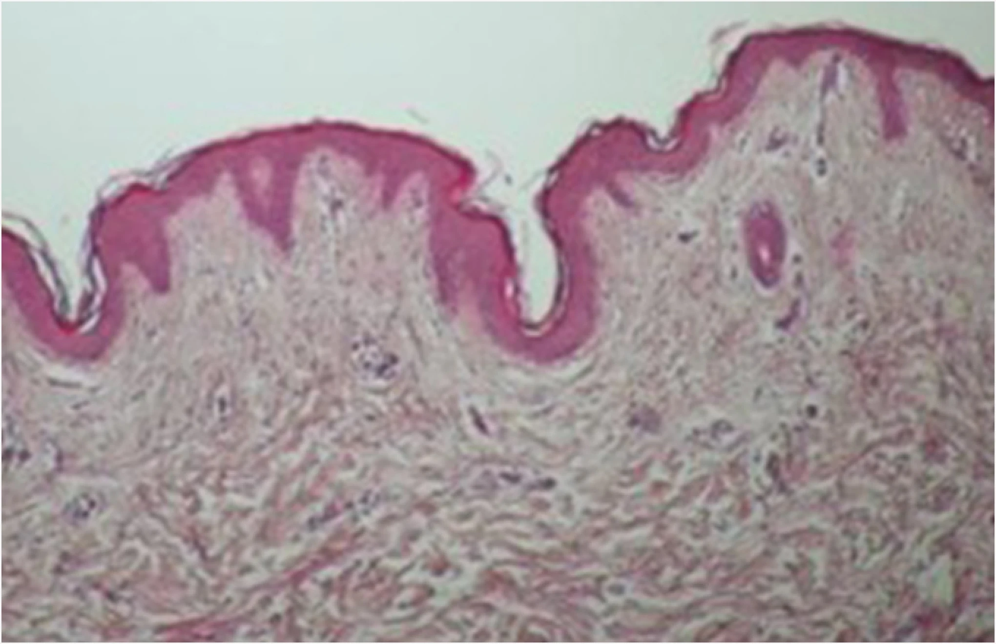
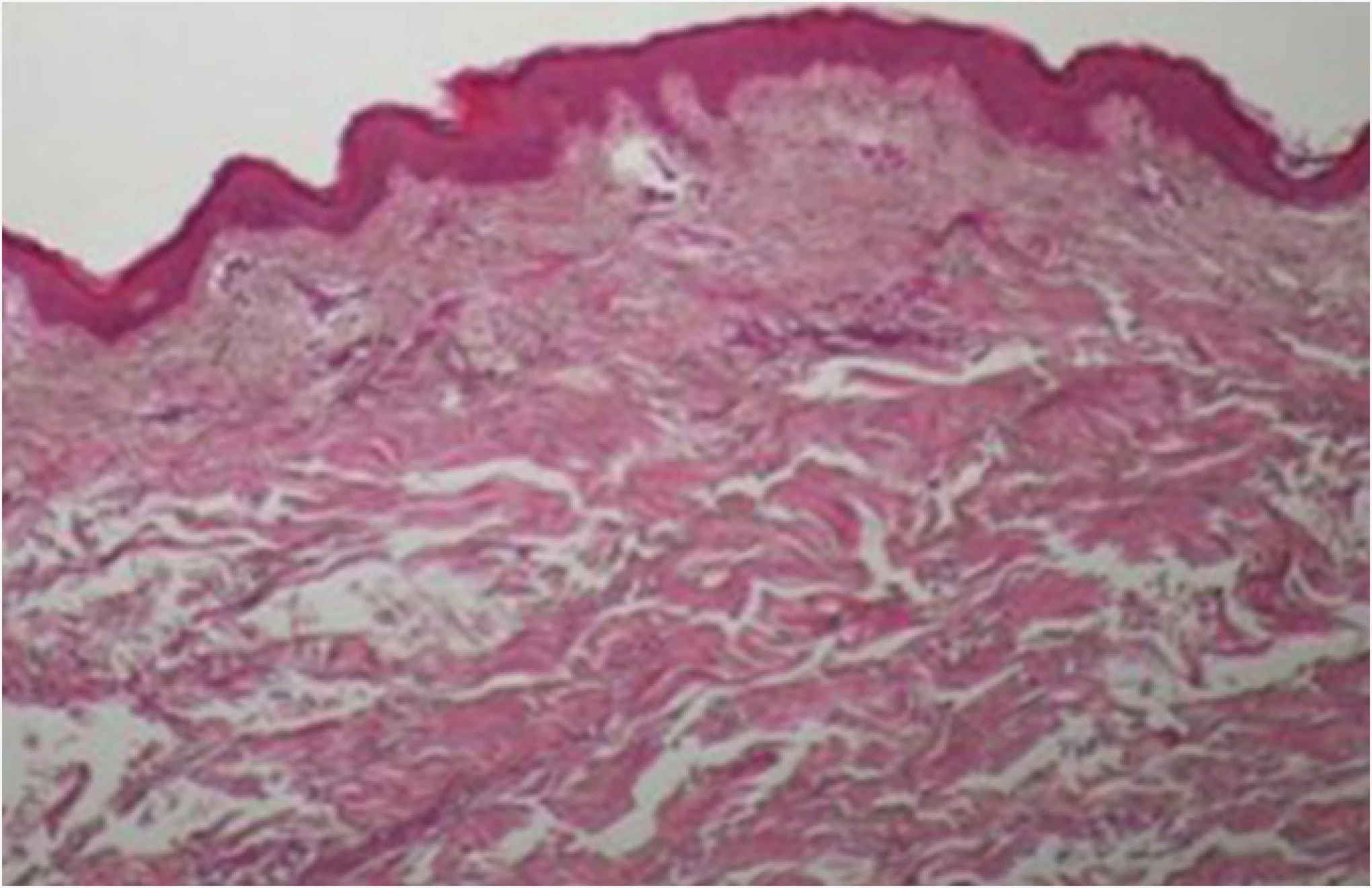
目で直接確認できるコラーゲン活性化の変化
オンダリフト
ONDA施術後、真皮のコラーゲンが活性化されたことが確認できます。
ONDAのエネルギーが熱に変換され、緩んだコラーゲン繊維を収縮させリモデリングを促すことで
スキンタイトニングとリフティング効果が同時に得られることが確認できます。

施術前

施術後
Key Benefits
オンダリフト フェイス POINT
- リフティング + 脂肪減少の複合効果
- 即時的なリフティング効果
- Coolwaves™クーリングシステムで痛みを最小化
- 腫れ・あざなしですぐに日常生活が可能
- 短い施術時間
- 施術直後から時間が経つほど効果が最大化
このような方におすすめ
オンダリフト フェイスは、
こんな方におすすめです。
頬の脂肪や二重あごでVラインがぼやけている方
肌の弾力低下が始まった方
他のリフティング施術の痛みが心配な方
施術後すぐに日常復帰が必要な方
Treatment Details
施術情報
オンダリフト フェイスの施術情報をご確認ください。
施術時間
10〜30分
麻酔方法
麻酔なし
ダウンタイム
当日から日常生活に復帰
推奨回数
3〜5回
施術前後の注意事項
- 洗顔やシャワーは施術後、当日から可能ですが、スクラブ角質除去のようにこするような刺激のあるものは避けてください。
- 施術後、熱感で乾燥する可能性がありますので、再生クリームや保湿クリーム、日焼け止めで管理してください。
- 施術後、一時的に赤み、熱感、かゆみ、じんましん、痛み、乾燥感が生じることがあります。個人差はありますが、一般的に3-7日以内に消えます。
- 冷湿布やサウナ、過度の飲酒は3日程度避けてください。
- 強い圧力がかかるマッサージは1週間ほど避けてください。
How It Works
施術の流れ
オンダリフト フェイスの施術の流れをご確認ください。
第一に、診療
イレイザークリニックの専門医にご相談ください。
第二に、計画
適切な施術スケジュールの計画
三つ目、施術
施術の実施とアフターケア確認
第四に、経過観察
専門医の経過観察
FAQ
よくある質問
オンダリフトは痛いですか?
痛みがほとんどなく、麻酔なしで施術が可能です。Coolwaves™クーリングシステムにより熱感も最小限に抑えられます。
他のリフティングと何が違いますか?
ONDAはマイクロ波を使用する唯一のリフティングで、リフティングと脂肪減少の効果を同時に得ることができます。
効果はいつから現れますか?
施術直後に即時的な効果があり、2〜3ヶ月間のコラーゲン再生により段階的に改善されます。
頬のくぼみが生じることはありますか?
施術前のデザイン時にくぼみやすい部位を避けて施術を行いますのでご安心ください。
何回の施術が推奨されますか?
個々の肌状態に応じて3〜5回を推奨しており、2〜4週間の間隔で施術を行います。